搜索
热搜:

生男生女帮 首页 孕产保健 怀孕生男女 查看内容
shig126

B超查分析生男生女最科学的四个技巧 医生不说的秘密

2018-5-16 15:24| 发布者: 喃喃细语| 查看: 3197| 评论: 0 |来自:

  是男孩还是女孩?相信每位准爸爸和准妈妈都很关心还在肚子里的宝宝是什么性别这个问题,那么除了等宝宝出生那一刻,还有什么办法可以知道宝宝的性别小秘密呢?一起来看,生男生女最准的4个科学测试方法。   一、 ...

  是男孩还是女孩?相信每位准爸爸和准妈妈都很关心还在肚子里的宝宝是什么性别这个问题,那么除了等宝宝出生那一刻,还有什么办法可以知道宝宝的性别小秘密呢?一起来看,生男生女最准的4个科学测试方法。

  一、B超单内暗含玄机

  聪明的妈妈们其实早已总结出了很多经验,最有靠谱的莫过于从B超单中查找各种蛛丝马迹然后成功推断宝宝的性别,每个成功的妈妈其强大程度不亚于破获各种大案难题的世界神探。

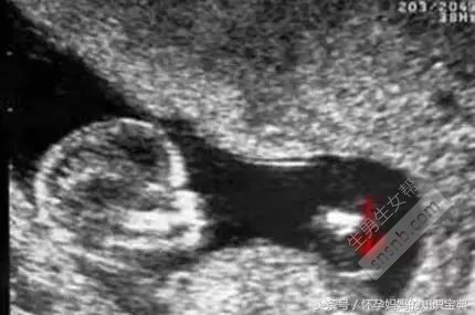
  B超图分辨男宝女宝性器官

  

  在照B超的时候,医生都会从屁股底下照看看左右的大腿,仔细观察的话可以发现在图中会有“谜之小凸起”,上图中的箭头所指就是,看到这里相信不用我说各位也一定看出来是一位小王子了。

  

  这个是网上一位妈妈晒得女女的B超图片,可以看到图片中在中间很明显木有小鸡鸡,是一位女宝宝的部位。

  二、孕囊形状看男女:长为男,圆生女?

  

  这种方法推断,有三个条件:

  a、必须是阴超,且提供3个数据。如果是腹超,则会降低准确率。

  b、3个数据中,最长径13~18毫米。这个尺寸不是绝对的,只是尺寸距离这个区间越大,判断准确率就越低。

  c、3个数据中,有两个数据基本相等,另一个数据是前两个数据的一半,那么肯定是男孩;如果三个数据接近等差数列,或者另一个数据是前两个近似数据数据的0.7~2.6倍,那肯定是女孩。

  三、国外新奇小肿块原理

  个别有经验的妈妈还有另一种看图方式:十一至十三周,所有的胎儿都会在双腿之间长出一个小肿块,而这个肿块的角度则会显示出它是个男孩还是女孩。据说如果小肿块翘起来30度以上就是男孩,但如果小角度就是女孩。请看下面的例子。

  

  小肿块没有指向三十度以上 - 事实上它几乎是水平的!

  

  小肿块以一个陡峭的角度向上指,显示这个胎儿是个男孩。

  如果你可以得到一张侧面图,那么它应该会给你提供一个很好的观察小肿块的角度。

  四、唐筛也能看男女?

  

  1.当AFP值大于1,且hcg值小于0.5的时候,就是男宝(95%的正确率);

  2.当AFP值小于1,且hcg值大于1的时候,就是女宝(95%的正确率);3

  3对于HCG介于0.5-1的,就要看AFP值是否大于1了,大于的就可能为男,小于的就可能为女。

  


路过

雷人

握手

鲜花

鸡蛋

友情链接

最新评论

返回顶部